Во Стоматолошката клиника Д-р Хилда Колева, нудиме стручни услуги за дентално бондирање за поправка на испакнатини, затворање на празнини и преобликување на забите. Овој минимално инвазивен третман ви помага да постигнете полирана и сјајна насмевка.
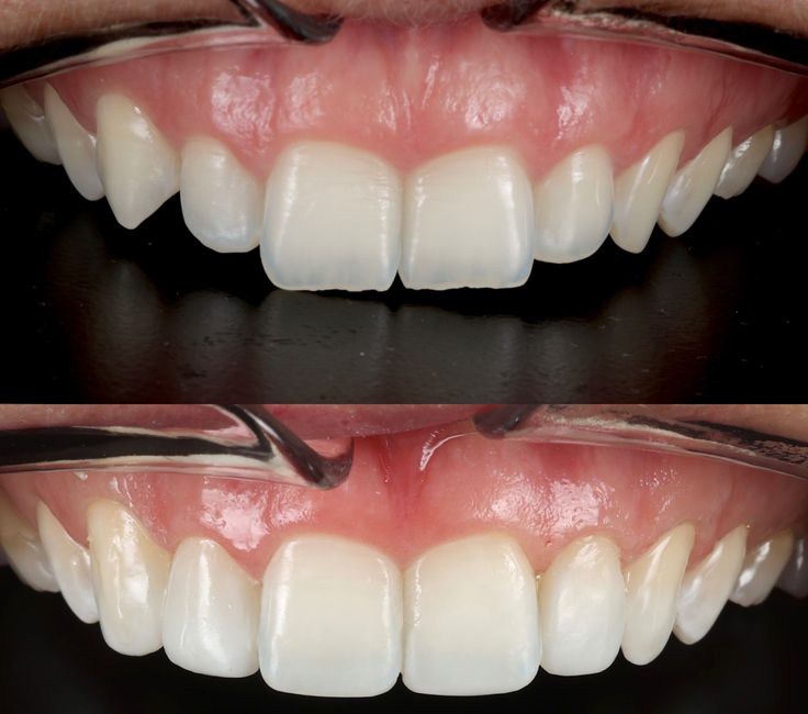
Денталното бондирање е естетска процедура која користи смола во боја на забот за корекција на помали несовршености, како што се испакнатини, пукнатини, празнини или промена на бојата. Ова брзо и економично решение може значително да го подобри целокупниот изглед на вашата насмевка.
Во Стоматолошката клиника Д-р Хилда Колева, процесот на бондинг е дизајниран да го подобри изгледот на вашите заби, зачувувајќи ја нивната природна структура. Откако внимателно ќе избереме нијанса што совршено се совпаѓа со вашите заби, материјалот се нанесува и обликува за беспрекорен резултат.
Со соодветна нега, денталниот бондинг е траен и ефективен начин за подобрување на изгледот на вашата насмевка, правејќи го популарен избор за пациентите кои бараат брзи и забележливи резултати.
- Брзо и ефикасно: ги поправа минималните несовршености со една посета, заштедувајќи време и напор.
- Природен изглед: смолата совршено одговара на бојата на вашите природни заби.
- Прифатливо решение: економична алтернатива на покомплексните естетски процедури.
- Минимално инвазивно: бара многу мала или никаква промена на природната структура на забот.
Закажете го вашиот термин во поликлиника Др. Хилда Колева денес и направете го првиот чекор кон поздрава и посјајна насмевка!
