Bij Dr. Hilda Koleva Dental Clinic maken we op maat gemaakte tandkronen die uitzonderlijke duurzaamheid bieden, beschadigde tanden beschermen en de algehele schoonheid van uw glimlach verbeteren.
Tandkronen zijn een effectieve oplossing voor het beschermen en herstellen van tanden die gebarsten, aangetast of verzwakt zijn. Deze op maat gemaakte kappen worden over de bestaande tand geplaatst, waardoor de vorm, sterkte en uitstraling worden hersteld en verdere schade wordt voorkomen.
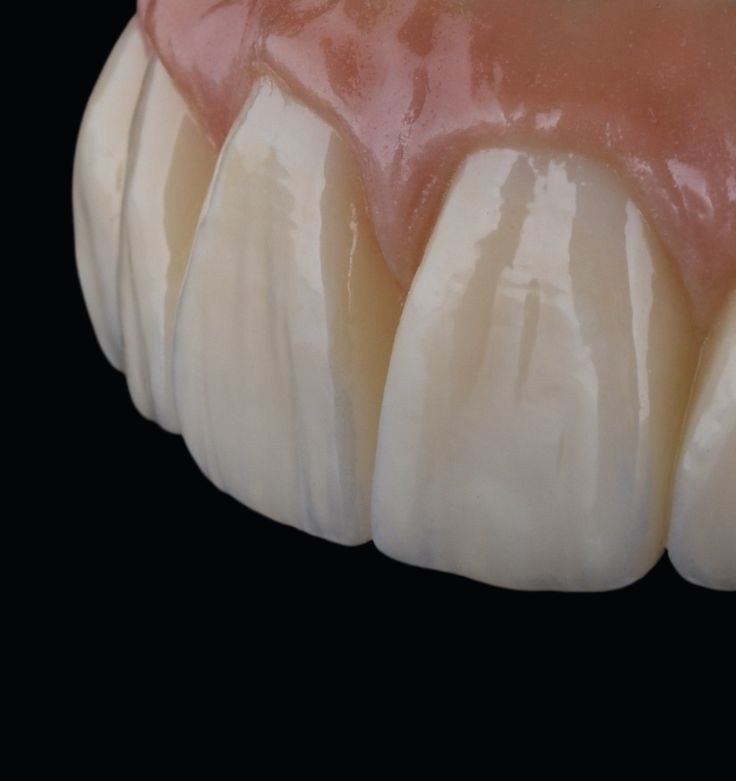
Bij Dr. Hilda Koleva Dental Clinic worden onze kronen zorgvuldig ontworpen om te passen bij de grootte, vorm en kleur van uw natuurlijke tanden, wat zorgt voor een naadloze en natuurlijke uitstraling. Of u nu een tand moet beschermen na een wortelkanaalbehandeling, een grote vulling wilt vervangen of het uiterlijk van een beschadigde tand wilt verbeteren – onze kronen leveren langdurige resultaten.
Het plaatsingsproces is comfortabel en nauwkeurig, waarbij ons team prioriteit geeft aan uw mondgezondheid en tevredenheid. Met de juiste zorg herstellen tandkronen niet alleen de functionaliteit, maar bieden ze ook jarenlang betrouwbare bescherming voor uw glimlach.
- Tandbescherming: beschermt beschadigde of verzwakte tanden tegen verder verval of breuken.
- Natuurlijke uitstraling en gevoel: op maat gemaakte kronen passen bij de grootte, kleur en vorm van uw natuurlijke tanden voor een perfecte afwerking.
- Herstelde sterkte: versterkt de tandstructuur, waardoor u normaal kunt kauwen en spreken.
- Veelzijdige toepassing: geschikt voor diverse behoeften, zowel herstellend als cosmetisch.
Boek vandaag nog uw afspraak bij Dr. Hilda Koleva Dental Clinic en zet de eerste stap naar een gezondere, stralendere glimlach!
