At Dr. Hilda Koleva Dental Clinic, we provide expert dental bonding services to repair chips, close gaps, and reshape teeth. This affordable and minimally invasive treatment helps you achieve a polished, radiant smile.
Dental bonding is a cosmetic procedure that uses a tooth-colored resin to correct minor imperfections, such as chips, cracks, gaps, or discoloration. This quick and cost-effective solution can make a significant difference in the overall appearance of your smile.
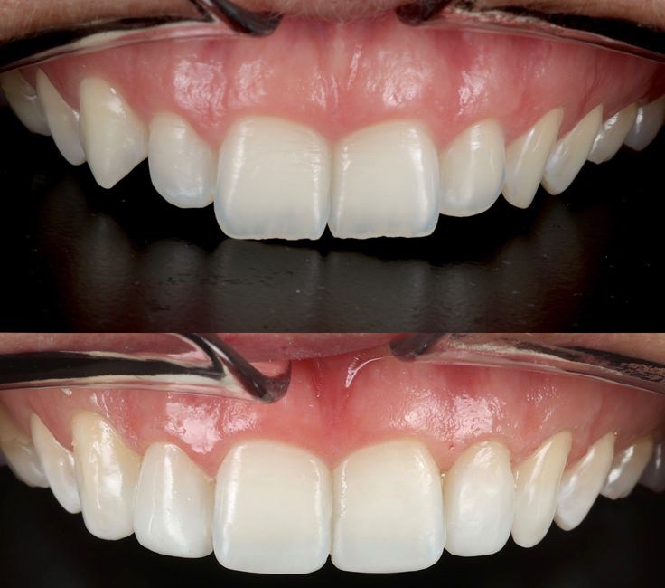
At Dr. Hilda Koleva Dental Clinic, our dental bonding process is designed to enhance your teeth's appearance while preserving their natural structure. After carefully selecting a shade that matches your existing teeth, we apply and sculpt the bonding material for a flawless result.
With proper care, dental bonding is a durable and effective way to improve your smile’s appearance, making it a popular choice for patients seeking fast, noticeable results.
- Quick and Effective: Repairs minor imperfections in a single visit, saving you time and effort.
- Natural Look: Tooth-colored resin blends seamlessly with your natural teeth.
- Affordable Solution: Offers a cost-effective alternative to more extensive cosmetic procedures.
- Minimally Invasive: Requires little to no removal of natural tooth structure.
Book your appointment with Dr. Hilda Koleva Dental Clinic today and take the first step toward a healthier, brighter smile!
