Στην Οδοντιατρική Κλινική Dr. Hilda Koleva, παρέχουμε εξειδικευμένες υπηρεσίες οδοντιατρικής συγκόλλησης για την επιδιόρθωση μικρών σπασιμάτων, το κλείσιμο κενών και την αναμόρφωση των δοντιών. Αυτή η προσιτή και ελάχιστα επεμβατική θεραπεία σας βοηθά να αποκτήσετε ένα λαμπερό και φυσικό χαμόγελο.
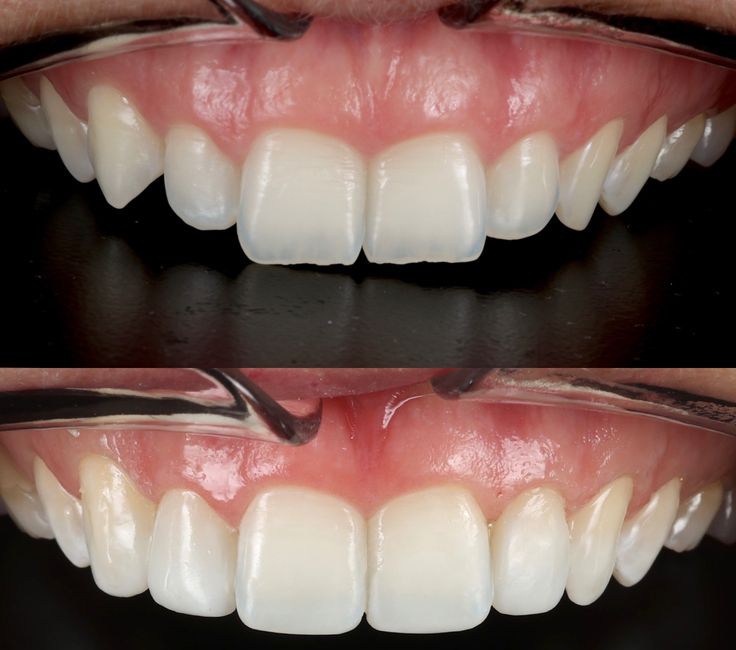
Η οδοντιατρική συγκόλληση είναι μια αισθητική διαδικασία που χρησιμοποιεί ρητίνη στο χρώμα του δοντιού για να διορθώσει μικρές ατέλειες όπως ρωγμές, κενά ή αποχρωματισμούς. Αυτή η γρήγορη και οικονομική λύση μπορεί να κάνει σημαντική διαφορά στη συνολική εμφάνιση του χαμόγελου σας.
Στην κλινική μας, η διαδικασία έχει σχεδιαστεί ώστε να βελτιώνει την εμφάνιση των δοντιών σας, διατηρώντας τη φυσική τους δομή. Μετά την επιλογή της κατάλληλης απόχρωσης, εφαρμόζουμε και διαμορφώνουμε τη ρητίνη με ακρίβεια, προσφέροντας ένα άψογο αποτέλεσμα.
Με τη σωστή φροντίδα, η οδοντιατρική συγκόλληση αποτελεί μια ανθεκτική και αποτελεσματική μέθοδο για τη βελτίωση του χαμόγελού σας, δημοφιλή για όσους επιθυμούν γρήγορα και ορατά αποτελέσματα.
- Γρήγορη και αποτελεσματική: Διορθώνει μικρές ατέλειες σε μία μόνο επίσκεψη.
- Φυσική εμφάνιση: Η ρητίνη ταιριάζει άψογα με τα φυσικά δόντια σας.
- Προσιτή λύση: Οικονομικά αποδοτική εναλλακτική σε πιο εκτεταμένες αισθητικές θεραπείες.
- Ελάχιστα επεμβατική: Απαιτεί ελάχιστη ή καθόλου αφαίρεση της φυσικής δομής του δοντιού.
Κλείστε το ραντεβού σας στην Οδοντιατρική Κλινική Dr. Hilda Koleva σήμερα και κάντε το πρώτο βήμα προς ένα πιο υγιές, φωτεινό χαμόγελο!
